Composite fillings and teeth whitening – small improvements can make a significant impact.

Full mouth composite bonding
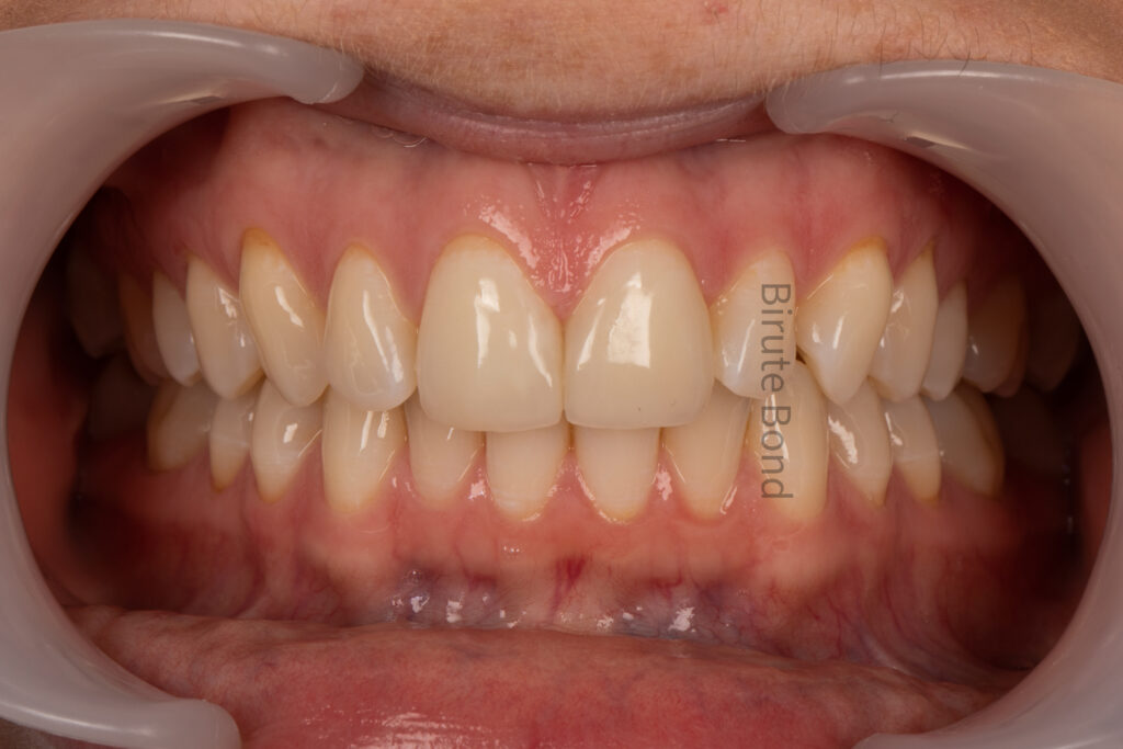
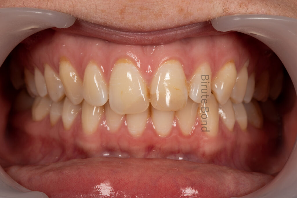
Lovely smile transformation achieved with full mouth composite build up by Dr. Birute Bond.
Composite fillings and teeth whitening – small improvements can make a significant impact.

Lovely smile transformation achieved with full mouth composite build up by Dr. Birute Bond.

Fabulous smile transformation by Dr. Birute Bond with: dental implant crown on upper right 2

Planning and restoration by Dr. Birute Bond for a 72 year old patient. A case